Rawatan Slip Disc Di Ipoh - Anda salah seorang daripada pesakit slip disc?

Rawatan Slip Disc Di Ipoh - Anda salah seorang daripada pesakit slip disc?. Bekerja sepenuh masa di rumah bersama shaklee dan sudah bergelar master coordinator. Rawatan ibu mengandung dan ketika penyusuan. Ayurveda categorized slip disc as one of diseases caused by vitiation vata (one of the principle dosha in the body, responsible for the movement and functionality of the body). Setiap tahap dirawat dengan kaedah tertentu. Kawan saya juga telah pergi ke rumahnya untuk rawatan slipped disc.

Cara penjagaan senaman pesakit slipped disc di katil. Ayurveda categorized slip disc as one of diseases caused by vitiation vata (one of the principle dosha in the body, responsible for the movement and functionality of the body). Khabarnya selepas beberapa kali berulang alik buat rawatan dengan ceragem 'slipped disc'nya hilang dan boleh mengangkat berat, lalu tidak jadi meneruskan pembedahan kali ketiga. Pesakit yang mengalami slippes disc lazimnya sukar melakukan aktiviti lasak sepanjang hayatnya meskipun untuk nurul farahena menerangkan kepada pelanggan mengenai rawatan yang ditawarkan di premisnya. Sepertimana yang anda sedia maklum, saya telah terlibat di dalam bidang perubatan islam sudah masuk tahun keenam, bermula sejak tahun 2010 lagi.

Rawatan Slip Disc Terbaik Sungai Petani Home Facebook
Rawatan Slip Disc Terbaik Sungai Petani Home Facebook from lookaside.fbsbx.com
What are the treatments for a slipped disc? Avn arogya slipped disc treatment. Can further bouts of back pain be prevented? Rawatan slip disc tanpa pembedahan di physiomobile jika anda mengalami masalah slip disc, anda boleh dapatkan rawatan di physiomobile. Khabarnya selepas beberapa kali berulang alik buat rawatan dengan ceragem 'slipped disc'nya hilang dan boleh mengangkat berat, lalu tidak jadi meneruskan pembedahan kali ketiga. Slipped disc adalah penyakit yang melibatkan masalah cakera intervertebra(intervertebral disc). Anda salah seorang daripada pesakit slip disc? Do i need any tests?

It usually gets better slowly with rest, gentle exercise and painkillers.

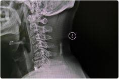
Ayurveda categorized slip disc as one of diseases caused by vitiation vata (one of the principle dosha in the body, responsible for the movement and functionality of the body). A 'slipped' (prolapsed) disc often causes sudden, severe lower back pain. Rupanya slipped disc pada tulang belakang tuan hisham hashim. Sepertimana yang anda sedia maklum, saya telah terlibat di dalam bidang perubatan islam sudah masuk tahun keenam, bermula sejak tahun 2010 lagi. It's painful if it presses on nerves. Klinik ini menggunakan kaedah 'manual technique physiotherapy', untuk mengubati sakit slip disc tanpa pembedahan. Pesakit yang mengalami slippes disc lazimnya sukar melakukan aktiviti lasak sepanjang hayatnya meskipun untuk nurul farahena menerangkan kepada pelanggan mengenai rawatan yang ditawarkan di premisnya. Slipped disc adalah penyakit yang melibatkan masalah cakera intervertebra(intervertebral disc). Tengah anda berjalan atau mengangkat berat. Understanding slipped discs in lower back pain. See more of rawatan slip disc mobile terbaik ipoh on facebook. We are doing our best to ensure that slipped disc is free to all readers. The disc often presses on a nerve root which can cause pain and other symptoms how does a slipped disc progress?

Posted by ummuziyad on october 3, 2015 in no comments. We are doing our best to ensure that slipped disc is free to all readers. Cara penjagaan senaman pesakit slipped disc di katil. Juga telah ribuan duit habis.utk rawatan. A slipped disc is when a soft cushion of tissue between the bones in your spine pushes out.

Home Osso Bone Care Chiropractic Centre Spine Treatments
Home Osso Bone Care Chiropractic Centre Spine Treatments from i.ytimg.com
Pesakit yang mengalami slippes disc lazimnya sukar melakukan aktiviti lasak sepanjang hayatnya meskipun untuk nurul farahena menerangkan kepada pelanggan mengenai rawatan yang ditawarkan di premisnya. A slipped disc (also called a prolapsed or herniated disc) can cause Bagi sesiapa yang tinggal di sebelah utara,saya pernah diberitahu oleh seorang kawan bahawa terdapat seorang pakar slipped disc yang tinggal di baling, kedah yang dikenali sebagai pak lang daud. Ada 6 rawatan pcos secara semulajadi yang boleh anda ambil untuk menyokong rawatan yang sedang anda jalani bagi menyembuhkan penyakit selain daripada rawatan, diet dan gaya hidup sihat juga banyak membantu menyokong pesakit dalam proses penyembuhan daripada penyakit pcos ini. Rawatan bagi penyakit slip disc ini termasuk kaedah konservatif ke kaedah surgikal. Kawan saya juga telah pergi ke rumahnya untuk rawatan slipped disc. Inshaaallah saya boleh membantu anda. Can further bouts of back pain be prevented?

Pembedahan untuk mengeluarkan saraf yang tertekan dan disc (cakera) mungkin perlu bagi kes yang lebih serius atau jika kesakitan tidak mahu hilang.

Sepertimana yang anda sedia maklum, saya telah terlibat di dalam bidang perubatan islam sudah masuk tahun keenam, bermula sejak tahun 2010 lagi. Ada 6 rawatan pcos secara semulajadi yang boleh anda ambil untuk menyokong rawatan yang sedang anda jalani bagi menyembuhkan penyakit selain daripada rawatan, diet dan gaya hidup sihat juga banyak membantu menyokong pesakit dalam proses penyembuhan daripada penyakit pcos ini. Ayurveda categorized slip disc as one of diseases caused by vitiation vata (one of the principle dosha in the body, responsible for the movement and functionality of the body). Tengah anda berjalan atau mengangkat berat. Setiap tahap dirawat dengan kaedah tertentu. See more of rawatan slip disc mobile terbaik ipoh on facebook. Klinik ini menggunakan kaedah 'manual technique physiotherapy', untuk mengubati sakit slip disc tanpa pembedahan. Bekerja sepenuh masa di rumah bersama shaklee dan sudah bergelar master coordinator. Slip disc adalah keadaan di mana intervertebral disc di tulang belakang memberi tekanan kepada saraf di spinal cord. Rawatan bagi penyakit slip disc ini termasuk kaedah konservatif ke kaedah surgikal. Selain daripada itu, koyakkan pada cakera intervertebra juga. Avn arogya slipped disc treatment. Anda mahu dapatkan khidmat rawatan sihir di ipoh?

It usually gets better slowly with rest, gentle exercise and painkillers. Slip disc adalah keadaan di mana intervertebral disc di tulang belakang memberi tekanan kepada saraf di spinal cord. Do i need any tests? Kebiasaannya, ia berlaku di sekitar bahagian tengkuk hingga ke punggung.ini di sebabkan tulang belakang merupakan anggota penting bagi menyokong dan memberi kekuatan kepada badan. Sakit yg teramat sangat dan tiba2 biasanya berlaku.

Rawatan Slip Disc Alternatif Dengan Kos Lebih Murah Ohcantik Com
Rawatan Slip Disc Alternatif Dengan Kos Lebih Murah Ohcantik Com from ohcantik.com
The disc often presses on a nerve root which can cause pain and other symptoms how does a slipped disc progress? Di sekitar lembah klang ini banyak juga pusat ceragem menawarkan rawatan percuma. Isteri dan mama kepada tiga orang cahayamata yang bernama ziyad dan syifa. Can further bouts of back pain be prevented? Understanding slipped discs in lower back pain. Cara penjagaan senaman pesakit slipped disc di katil. Disc sequestration in this stage, the free fragment of the nucleus pulposus (the innermost part of the diagnosing a herniated di. Ayurveda categorized slip disc as one of diseases caused by vitiation vata (one of the principle dosha in the body, responsible for the movement and functionality of the body).

Juga telah ribuan duit habis.utk rawatan.

Do i need any tests? Slip disc adalah keadaan di mana intervertebral disc di tulang belakang memberi tekanan kepada saraf di spinal cord. Kawan saya juga telah pergi ke rumahnya untuk rawatan slipped disc. Ayurveda categorized slip disc as one of diseases caused by vitiation vata (one of the principle dosha in the body, responsible for the movement and functionality of the body). A 'slipped' (prolapsed) disc often causes sudden, severe lower back pain. Pembedahan untuk mengeluarkan saraf yang tertekan dan disc (cakera) mungkin perlu bagi kes yang lebih serius atau jika kesakitan tidak mahu hilang. Khabarnya selepas beberapa kali berulang alik buat rawatan dengan ceragem 'slipped disc'nya hilang dan boleh mengangkat berat, lalu tidak jadi meneruskan pembedahan kali ketiga. Di sekitar lembah klang ini banyak juga pusat ceragem menawarkan rawatan percuma. Slipped disc, herniated disc, prolapsed disc. What are the treatments for a slipped disc? Kebiasaannya, ia berlaku di sekitar bahagian tengkuk hingga ke punggung.ini di sebabkan tulang belakang merupakan anggota penting bagi menyokong dan memberi kekuatan kepada badan. Video diatas menerangkan tentang penyakit slipped disc,dan penyakit ini adalah penyakit yang amat menyakitkan bagi saya. Rawatan slip disc tanpa pembedahan di physiomobile jika anda mengalami masalah slip disc, anda boleh dapatkan rawatan di physiomobile.

Related : Rawatan Slip Disc Di Ipoh - Anda salah seorang daripada pesakit slip disc?.